CTとはコンピューテッド・トモグラフィ(coputed tomography)、日本語で言うならばコンピュータ断層撮影装置の略となります。
通常使用するX線装置が身体の周囲を回転し、X線を照射します。その結果をコンピュータ処理することで鮮明な断層像を観察することが可能になります。
<撮影前の準備>
金具、プラスチック、湿布等している状態で撮影しますと、診断の妨げになります。技師の指示によりはずしてもらうことがありますので、ご協力お願いいたします。
検査について不明な点がございましたら、医師または、技師にお尋ねください。
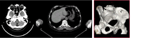
<新型CT導入のお知らせ>
当院は平成22年12月より従来のシングルX線CT装置から、2列マルチスライスCT(MDCT)を導入しました。
装 置
GE社製 New Pro SpeedU Premium

特 徴
・撮影時間が従来のCTより半分に短縮
・患者様の症状、状態をより考慮した撮影が可能
・腕上げ不可、息止め不可の患者様でも撮影が可能
・従来CTより高画質になり、診断能が向上
 
◎ポータブル装置(回診用X線撮影装置)が平成22年11月から新しくなって稼動しています。
|